Tin tức
Cụ bà bị đột quỵ khi đi vệ sinh lúc 2 giờ sáng, bác sĩ cảnh báo nguy cơ bệnh gia tăng vào mùa lạnh
- 19/11/2025 | Tầm soát sớm nguy cơ đột quỵ cùng chuyên gia đầu ngành, nhận ưu đãi lên tới 1 triệu đồng
- 20/11/2025 | Thức khuya có bị đột quỵ không và những tác hại của thói quen này
- 21/11/2025 | Đứng 1 chân kiểm tra đột quỵ có chính xác không và những phương pháp kiểm tra khác
- 26/11/2025 | Đột quỵ ở người trẻ: Nguyên nhân và cách phát hiện sớm
Đau đầu, yếu nửa người trái - dấu hiệu cảnh báo đột quỵ
Vừa qua, Phòng khám Đa khoa MEDLATEC Thanh Xuân tiếp nhận bà Đ.T.C. (75 tuổi) đến khám với lý do đau đầu, yếu nửa người trái.
Khai thác bệnh sử được biết, bà C. bị tăng huyết áp, dùng Amlor 5 mg/ngày nhưng không thường xuyên. Trước thời điểm đến MEDLATEC, bệnh nhân xuất hiện Đau đầu, chóng mặt và đã khám tại cơ sở y tế khác. Tại đây, bà được chẩn đoán theo dõi cơn thiếu máu não, tăng huyết áp, nhưng chưa dùng thuốc điều trị.
10 ngày sau, khi dậy đi vệ sinh lúc 2 giờ sáng, bà C. đột ngột xuất hiện đau đầu, chóng mặt, quay cuồng, buồn nôn, méo miệng, nói khó, tê bì yếu nửa người trái, đi lại mất thăng bằng, hồi hộp trống ngực nên được gia đình đưa tới MEDLATEC khám.
Qua thăm khám lâm sàng, bác sĩ nhận thấy các dấu hiệu bất thường rõ rệt, bao gồm: người bệnh tỉnh táo, Glasgow 15 điểm; huyết áp 150/90 mmHg; yếu nửa người trái, trương lực cơ và phản xạ gân xương giảm, cơ lực 4/5; mờ nhẹ nếp mũi má, mất cân xứng khi cười, khó nói, phát âm không rõ.

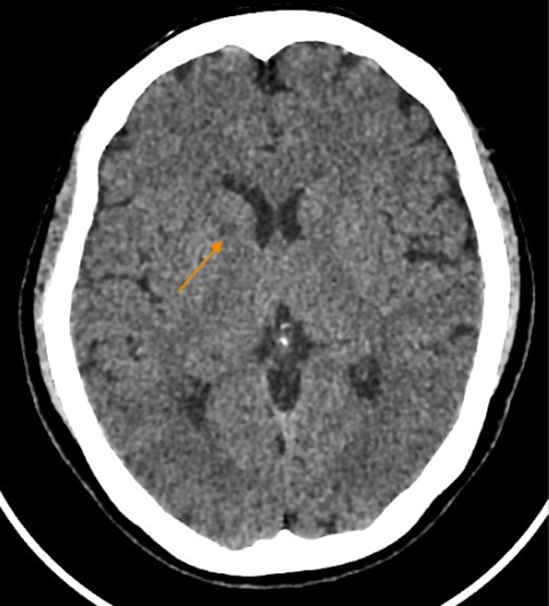
Chụp cắt lớp vi tính sọ não ghi nhận dấu hiệu bất thường

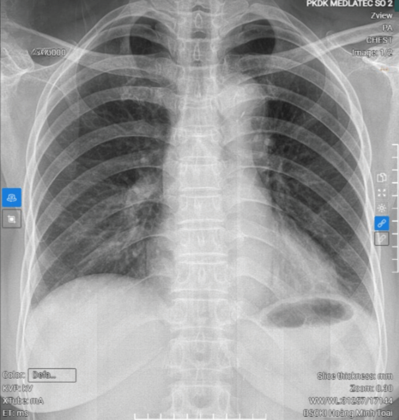
Kết quả chụp X-quang tim phổi của bệnh nhân
Chụp cắt lớp vi tính sọ não không tiêm thuốc đối quang (32 dãy) cho thấy xơ vữa vôi hóa động mạch cảnh trong hai bên đoạn xoang hang và động mạch đốt sống hai bên đoạn nội sọ. Chụp X-quang tim - phổi thường quy ghi nhận cung động mạch chủ giãn nhẹ, kèm vôi hóa.
Siêu âm Doppler hệ thống động mạch cảnh và động mạch đốt sống phần ngoài sọ phát hiện mảng xơ vữa vôi hóa tại xoang cảnh trái, gây hẹp lòng mạch không đáng kể. Siêu âm tim ghi nhận hở nhẹ van động mạch chủ.

Siêu âm Doppler hệ thống động mạch cảnh và động mạch đốt sống phần ngoài sọ cho thấy mảng xơ vữa vôi hóa tại xoang cảnh trái

Kết quả siêu âm tim của bà C.
Dựa vào các kết quả trên, bà C. được chẩn đoán theo dõi đột quỵ nhồi máu não giờ thứ 9 NIHSS 4 điểm - tăng huyết áp. Bệnh nhân được chuyển tuyến điều trị theo chuyên khoa.
Cảnh báo đột quỵ gia tăng vào mùa lạnh
Theo BSCKI. Hoàng Minh Toại - Chuyên khoa Hồi sức cấp cứu, Phòng khám Đa khoa MEDLATEC Thanh Xuân, đột quỵ (hay còn gọi là tai biến mạch máu não) xảy ra khi một hoặc nhiều mạch máu cung cấp oxy cho não bị tổn thương, hoặc tắc nghẽn. Bệnh có 2 dạng chính: đột quỵ xuất huyết do mạch máu não bị vỡ và đột quỵ do thiếu máu cục bộ (động mạch bị tắc nghẽn).
Mặc dù đột quỵ có thể xảy ra quanh năm, nhưng vào mùa lạnh, tỷ lệ mắc bệnh lại có xu hướng gia tăng. Nguyên nhân do:
- Thời tiết lạnh làm co mạch máu, tăng sức cản dòng máu và huyết áp, dẫn đến nguy cơ vỡ mạch máu não, gây đột quỵ;
- Nhiệt độ giảm làm tăng tỷ lệ đông máu, giảm khả năng tiêu hủy huyết khối, dẫn đến nguy cơ hình thành huyết khối, gây tắc nghẽn mạch máu, đặc biệt là trong não;
- Trong mùa lạnh, nồng độ hormone catecholamine tăng, gây tăng huyết áp, nhịp tim và co mạch, làm tăng nguy cơ đột quỵ;
- Nhiệt độ thấp làm tăng gánh nặng cho hệ tim mạch, đặc biệt, những người có tiền sử bệnh lý tim mạch, do hệ tuần hoàn gặp trở ngại trong việc cung cấp máu đến các cơ quan và mô;
- Thói quen ăn thực phẩm giàu chất béo, nhiều muối, ít rau củ quả và giảm vận động trong mùa đông làm tăng nguy cơ béo phì, tăng huyết áp, rối loạn lipid máu và tiểu đường.

Vào mùa lạnh, tỷ lệ mắc bệnh lại có xu hướng gia tăng
Bệnh có thể xảy ra ở mọi độ tuổi, nhưng nguy cơ tăng cao hơn ở người trên 60 tuổi, có tiền sử bệnh lý về tim mạch, huyết áp cao, tiểu đường; hoặc có tiền sử gia đình bị đột quỵ, béo phì, ít vận động, hút thuốc, uống rượu bia nhiều; phụ nữ sau mãn kinh, hoặc mang thai.
Ảnh hưởng lớn nhất của đột quỵ đối với người bệnh là tử vong. Trường hợp may mắn sống sót, có thể gặp di chứng nặng nề như:
- Vận động: Liệt vận động tay chân cùng bên, liệt vận động mắt, miệng, mặt, hầu họng. Biểu hiện với các triệu chứng song thị, lệch mặt và khó phát âm.
- Cảm giác: Giảm hoặc mất cảm giác nửa người.
- Bệnh nhân thường phải nằm bất động hoặc khó vận động dẫn đến: Viêm phổi, nhiễm khuẩn tiết niệu, huyết khối tĩnh mạch, trầm cảm.
- Nguy cơ tử vong cao nếu không được phát hiện và điều trị kịp thời.
Biện pháp phòng ngừa đột quỵ mùa lạnh
Bác sĩ Toại cho hay, đối với người bị đột quỵ cứ mỗi 1 phút trôi qua, 2 triệu tế bào nơron thần kinh sẽ chết không hồi phục nếu thiếu máu nuôi. Người bệnh cần được đưa đến bệnh viện trong vòng30 phút từ thời điểm bị đột quỵ, đây được xem là “thời gian kim cương”. Thời gian từ3 - 4.5 giờ được coi là “thời gian vàng”, sau thời gian này, người bệnh không được tái thông các mạch lớn bị tắc trong não sẽ có nguy cơ tử vong cao hoặc bị tàn phế. Việc nắm rõ dấu hiệu sau đây để nhận biết đột quỵ là vô cùng quan trọng:
- B (BALANCE): Mất thăng bằng, đau đầu, chóng mặt.
- E (EYESIGHT): Mất thị lực một phần/ hoàn toàn, tầm nhìn bị mờ đột ngột.
- F (FACE): Gương mặt tự nhiên bị méo, nụ cười méo một bên, nhân trung bị lệch.
- A (ARM): Một bên tay chân yếu, cầm nắm đồ không chắc.
- S (SPEECH): Mất khả năng nói (đột nhiên khó nói).
- T (TIME): Khi xuất hiện đột ngột các triệu chứng trên hãy nhanh chóng gọi 115, hoặc đưa bệnh nhân đến cơ sở y tế gần nhất để được cấp cứu kịp thời.
Bên cạnh đó, bác sĩ Toại khuyến cáo, để phòngngừa đột quỵ trong mùa lạnh, người dân cần lưu ý những điều sau:
- Mặc đủ ấm, tránh thay đổi nhiệt độ đột ngột.
- Tăng cường ăn trái cây, rau củ, ngũ cốc nguyên hạt, cá. Hạn chế thực phẩm nhiều muối, đường và chất béo bão hòa. Tập thể dục thể thao thường xuyên phù hợp với tuổi tác và sức khỏe để giảm nguy cơ béo phì và các bệnh tim mạch.
- Từ bỏ thói quen hút thuốc, hạn chế uống rượu: Hút thuốc làm tăng huyết áp, giảm oxy trong máu và gây tổn thương mạch máu. Rượu cũng có thể làm giãn mạch máu, tạo cảm giác ấm áp nhưng lại làm cơ thể mất nhiệt và tăng nguy cơ đột quỵ.
- Quản lý căng thẳng: Căng thẳng kéo dài có thể ảnh hưởng tiêu cực đến sức khỏe tim mạch, do đó, hãy cân bằng thời gian làm việc và nghỉ ngơi.
- Khám sức khỏe định kỳ giúp phát hiện sớm các yếu tố nguy cơ (huyết áp cao, cholesterol cao, tiểu đường và tình trạng tim mạch), từ đó có biện pháp phòng ngừa và điều trị kịp thời.
Tầm soát sớm nguy cơ đột quỵ cùng chuyên gia đầu ngành, nhận ưu đãi lên tới 1 triệu đồng
MEDLATEC giảm 10% gói tầm soát nguy cơ đột quỵ diễn ra từ nay đến hết ngày 31/12/2025 Với mong muốn giúp người dân nâng cao ý thức chủ động tầm soát nguy cơ đột quỵ ngay cả khi không có triệu chứng, Hệ thống Y tế MEDLATEC triển khai Gói tầm soát nguy cơ đột quỵ cùng PGS.TS.BSCC Phạm Đình Đài - chuyên gia đầu ngành lĩnh vực Thần kinh. Chương trình diễn ra cụ thể như sau: Nội dung ưu đãi: Giảm 10% tất cả các Gói khám tầm soát nguy cơ đột quỵ (tiết kiệm tới 1.080.000 triệu đồng). Thời gian: Từ nay đến hết 31/12/2025. Chi tiết gói khám và địa điểm áp dụng, xem chi tiết TẠI ĐÂY. Tầm soát định kỳ là “chìa khóa vàng” để bảo vệ sức khỏe, trong đó có bệnh đột quỵ. Để chủ động kiểm soát bệnh lý đặc biệt nguy hiểm này, người dân đừng quên tìm hiểu dịch vụ, hoặc đăng ký sử dụng gói khám bằng cách gọi điện qua tổng đài 1900 56 56 56. |
Bình luận ()
Lựa chọn dịch vụ
Quý khách hàng vui lòng lựa chọn dịch vụ y tế theo nhu cầu!
