Tin tức
Hai lần mắc đột quỵ, người đàn ông đến MEDLATEC phát hiện hẹp động mạch cảnh
- 19/11/2025 | Tầm soát sớm nguy cơ đột quỵ cùng chuyên gia đầu ngành, nhận ưu đãi lên tới 1 triệu đồng
- 20/11/2025 | Thức khuya có bị đột quỵ không và những tác hại của thói quen này
- 01/12/2025 | Cụ bà bị đột quỵ khi đi vệ sinh lúc 2 giờ sáng, bác sĩ cảnh báo nguy cơ bệnh gia tăng vào mù...
- 07/01/2026 | Đột quỵ xuất huyết não: Cách thức nhận diện và xử trí để giảm nguy cơ tử vong
Động mạch cảnh hẹp nặng ở người đàn ông có tiền sử hai lần mắc đột quỵ
Vừa qua, bệnh nhân L.V.V. (61 tuổi, Hà Nội) đến Phòng khám Đa khoa MEDLATEC Tây Hồ kiểm tra sức khỏe sau đột quỵ.
Trước đó, bệnh nhân có tiền sử hai lần đột quỵ não. Lần đầu xảy ra vào năm 2023 nhưng may mắn không để lại di chứng. Lần gần nhất cách thời điểm đến MEDLATEC khoảng một tháng, bệnh nhân xuất hiện triệu chứng chóng mặt, đi khám tại một bệnh viện lớn, được chẩn đoán nhồi máu não đa ổ vùng bán cầu não phải. Sau quá trình điều trị, tình trạng bệnh nhân ổn hơn, hết chóng mặt nên đến MEDLATEC để kiểm tra lại toàn diện.
Ngoài tiền sử đột quỵ, bệnh nhân còn mắc tăng huyết áp và đái tháo đường nhưng không tái khám thường xuyên, chủ yếu dùng thuốc tại nhà theo đơn cũ; đồng thời bệnh nhân còn có thói quen hút thuốc lá trong thời gian dài.
Tại MEDLATEC Tây Hồ, thăm khám lâm sàng, bác sĩ ghi nhận bệnh nhân có chỉ số BMI 23,05 (thừa cân), kèm theo tiếng thổi tại động mạch cảnh bên phải. Để đánh giá toàn diện tình trạng sức khỏe, bệnh nhân được chỉ định thực hiện các xét nghiệm và chẩn đoán hình ảnh cần thiết.
Kết quả cho thấy, xét nghiệm máu ghi nhận đường máu và mỡ máu tăng cao. Siêu âm tim phát hiện dày thành tim và giãn nhẹ động mạch cảnh chủ lên.
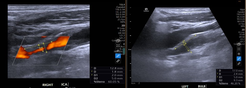
Đáng chú ý, siêu âm động mạch cảnh phát hiện xơ vữa động mạch cảnh hai bên với nhiều vị trí hẹp. Trong đó, động mạch cảnh trong bên phải bị hẹp khoảng 70% do mảng xơ vữa vôi hóa, đây là mức độ hẹp nặng, làm giảm đáng kể lượng máu lên não và tiềm ẩn nguy cơ cao gây đột quỵ. Ngoài ra, xoang cảnh phải hẹp khoảng 50%; bên trái ghi nhận các vị trí hẹp nhẹ đến trung bình.

Hình ảnh siêu âm động mạch cảnh của bệnh nhân phát hiện nhiều vị trí hẹp
Kết quả chụp cắt lớp vi tính động mạch cảnh tiếp tục khẳng định hình ảnh mảng xơ vữa hỗn hợp tại động mạch cảnh trong bên phải, gây hẹp 68% lòng mạch. Chụp MRI sọ não cho thấy còn tồn tại một số ổ nhồi máu não cũ và mới ở vùng thái dương – đỉnh phải.

Chụp cắt lớp vi tính phát hiện mảng xơ vữa gây hẹp nặng động mạch cảnh trong bên phải
Từ các kết quả thăm khám và cận lâm sàng, bác sĩ kết luận bệnh nhân bị hẹp nặng động mạch cảnh trong bên phải trên nền nhiều bệnh lý mạn tính như: nhồi máu não, tăng huyết áp, đái tháo đường, rối loạn mỡ máu và hội chứng vành mạn – đây là những yếu tố làm gia tăng nguy cơ đột quỵ tái phát nếu không được kiểm soát tốt.
Bệnh nhân được kê đơn điều trị nội khoa. Bác sĩ cũng tư vấn bệnh nhân can thiệp động mạch cảnh, đồng thời tuân thủ dùng thuốc đều đặn, tái khám định kỳ và điều chỉnh lối sống, đặc biệt là bỏ thuốc lá, giảm ăn mặn, hạn chế đồ chiên rán, tăng cường rau xanh, vận động phù hợp nhằm giảm nguy cơ biến chứng tim mạch và đột quỵ trong tương lai.
Hẹp động mạch cảnh do xơ vữa – Mối nguy hiểm âm thầm làm tăng nguy cơ đột quỵ
Theo bác sĩ Nguyễn Thị Thùy Linh - Chuyên khoa Nội Tim mạch, Phòng khám Đa khoa MEDLATEC Tây Hồ, hẹp động mạch cảnh do xơ vữa là tình trạng lòng động mạch cảnh bị thu hẹp bởi các mảng xơ vữa hình thành do quá trình rối loạn chuyển hóa kéo dài.
Động mạch cảnh là các mạch máu lớn nằm hai bên cổ, có nhiệm vụ đưa máu giàu oxy từ tim lên nuôi não. Theo thời gian, mỡ và cholesterol có thể lắng đọng trên thành động mạch, tạo thành mảng xơ vữa. Khi mảng xơ vữa dày lên, lòng mạch bị hẹp, làm máu lên não kém hơn. Ngoài ra, các mảng xơ vữa có thể nứt vỡ, hình thành cục máu đông hoặc bong ra theo dòng máu, gây tắc mạch não.

Các mảng xơ vữa trong lòng mạch là nguyên nhân dẫn đến hẹp động mạch cảnh. Ảnh minh họa
Quá trình xơ vữa động mạch cảnh thường diễn tiến chậm và âm thầm theo thời gian. Nhiều người mắc bệnh trong nhiều năm nhưng không có biểu hiện rõ ràng, đặc biệt ở giai đoạn hẹp nhẹ đến trung bình. Tuy nhiên, khi mức độ hẹp tăng lên hoặc mảng xơ vữa không ổn định, người bệnh có thể xuất hiện các triệu chứng cảnh báo như: chóng mặt, đau đầu, nhìn mờ thoáng qua, tê yếu hoặc liệt nửa người, nói khó...
Nguyên nhân chính dẫn đến hẹp động mạch cảnh là xơ vữa động mạch, trong đó các yếu tố nguy cơ thường gặp bao gồm: tuổi cao, tăng huyết áp, đái tháo đường, rối loạn mỡ máu, hút thuốc lá, thừa cân béo phì và lối sống ít vận động…
Điều trị hẹp động mạch cảnh do xơ vữa phụ thuộc vào mức độ hẹp và tình trạng lâm sàng của người bệnh. Với các trường hợp hẹp nhẹ đến trung bình, điều trị nội khoa kết hợp kiểm soát chặt chẽ huyết áp, đường huyết, mỡ máu và thay đổi lối sống đóng vai trò then chốt. Khi hẹp nặng hoặc có nguy cơ cao gây đột quỵ, người bệnh có thể được cân nhắc các biện pháp can thiệp hoặc phẫu thuật theo chỉ định của bác sĩ chuyên khoa.
Đến MEDLATEC tầm soát sớm nguy cơ đột quỵ, chủ động bảo vệ não bộ và tim mạch
Bác sĩ Nguyễn Thị Thùy Linh cho hay, đối với những nhóm người nguy cơ cao hoặc có bệnh nền, việc chủ động tầm soát sớm là giải pháp hiệu quả giúp giảm nguy cơ đột quỵ và bảo vệ sức khỏe não bộ, tim mạch lâu dài.
Hệ thống Y tế MEDLATEC với lịch sử 30 năm hình thành và phát triển tự hào là đơn vị y tế uy tín được đông đảo người dân lựa chọn đến thăm khám, tầm soát đột quỵ. Tại đây, quy tụ đội ngũ chuyên gia, bác sĩ đầu ngành trong lĩnh vực Thần kinh, Tim mạch. Các gói tầm soát được thiết kế chuyên biệt, xây dựng dựa trên những yếu tố nguy cơ thường gặp và đặc thù ở từng nhóm đối tượng.
Bên cạnh đó, MEDLATEC còn sở hữu hệ thống máy móc chẩn đoán hình ảnh, xét nghiệm hiện đại bậc nhất Việt Nam, giúp phát hiện sớm những bất thường như: hẹp động mạch cảnh, xơ vữa mạch máu, tăng huyết áp, rối loạn mỡ máu hay đái tháo đường…
Việc tầm soát kịp thời ngay cả khi chưa có triệu chứng cho phép bác sĩ đưa ra hướng theo dõi và điều trị phù hợp, góp phần giảm nguy cơ đột quỵ, đặc biệt ở những người trung niên, cao tuổi hoặc có bệnh lý nền. Chủ động kiểm tra sức khỏe định kỳ tại MEDLATEC chính là bước quan trọng để phòng ngừa đột quỵ và bảo vệ chất lượng cuộc sống lâu dài.

MEDLATEC - Đơn vị y tế uy tín trong tầm soát sớm nguy cơ đột quỵ
Nhằm giúp người dân an tâm đón Tết, từ nay đến hết ngày 31/01/2026, MEDLATEC triển khai chương trình ưu đãi miễn phí khám Nội Tim mạch và giảm 50% phí Nội soi tiêu hóa. Chương trình áp dụng tại hệ thống bệnh viện, phòng khám của MEDLATEC.
Ngoài ra, để giúp người dân tiết kiệm tối đa chi phí khi khám chữa bệnh, MEDLATEC triển khai Thẻ 555 với chi phí 555.000 VNĐ, người dân có ngay quyền lợi cho 10 thành viên trong gia đình kéo dài suốt 1 năm, cụ thể như sau:
- Miễn phí 10 lần khám và tư vấn;
- Giảm 15% dịch vụ y tế phát sinh (áp dụng gần 2.500 danh mục, dịch vụ);
- Đặc biệt, từ nay đến ngày 31/03/2026, khi mua thẻ mới kích hoạt ngay, người dân còn được hưởng ưu đãi cực lớn gồm: miễn phí xét nghiệm Cholesterol, AST (GOT); giảm 50% phí siêu âm ổ bụng, siêu âm thai 2D, nội soi tai mũi họng ống mềm; giảm 30% phí chụp MRI não, mạch não không tiêm chất tương phản; giảm 20% phí chẩn đoán hình ảnh, HPV tự lấy mẫu, NIPT, Spot-Mas 10…
Link đăng ký mua thẻ 555 tại đây: https://medlatec.vn/dich-vu/the-555
Đặt lịch thăm khám tại MEDLATEC, người dân vui lòng liên hệ tổng đài 1900 56 56 56 để được tư vấn và hỗ trợ 24/24h.
Bình luận ()
Lựa chọn dịch vụ
Quý khách hàng vui lòng lựa chọn dịch vụ y tế theo nhu cầu!